当前位置:肿瘤瞭望>资讯>正文

优例共赏丨一例ⅣB期小细胞肺癌的病例分享

作者:肿瘤瞭望   日期:2022/9/13 11:11:11  浏览量:8437

肿瘤瞭望版权所有,谢绝任何形式转载,侵犯版权者必予法律追究。

小细胞肺癌侵袭性强、进展快,患者预后较差。近年来,免疫联合化疗治疗为广泛期小细胞肺癌提供了新的一线治疗,较单独化疗进一步改善患者生存预后。

病例作者:刘斌 阜阳市人民医院
病例点评:江丰收 中国科学技术大学附属第一医院
 
编者按:小细胞肺癌侵袭性强、进展快,患者预后较差。近年来,免疫联合化疗治疗为广泛期小细胞肺癌提供了新的一线治疗,较单独化疗进一步改善患者生存预后。本期“优例共赏”通过一例广泛期小细胞肺癌患者使用斯鲁利单抗联合化疗药物进行治疗的病例,探讨了广泛期小细胞肺癌患者治疗的优化选择。
 
病例作者
刘斌
阜阳市人民医院呼吸与危重症医学科主任,主任医师,硕士生导师
安徽呼吸医师协会委员
安徽呼吸学会委员、肺癌与介入、肺栓塞与肺血管病学组委员
安徽内科学会常委
安徽省抗癌协会肿瘤免疫与靶向治疗专委会常委
安徽老年学会身心分会常委、肺癌专委会常委
安徽预防医学会呼吸病防控常委
安徽呼吸睡眠学组常委
安徽临床肿瘤学会青年委员
阜阳呼吸学会副主任委员
 
小细胞肺癌(small cell lung cancer,SCLC)是肺癌之中侵袭性最强的一种亚型,此类肿瘤恶性程度高、倍增时间短、易发生远处转移,约占所有肺癌患者的15%,与长期、大量吸烟相关。约70%的SCLC患者初次就诊时已发生远处转移,预后差[1-2]。既往几十年广泛期小细胞肺癌(extensive-stage SCLC,ES-SCLC)可选择的治疗方案有限,一线标准治疗方案为依托泊苷或伊立替康联合铂类药物化疗,有效率高达60-80%,但短期内易出现复发、转移,中位生存期仅有10个月左右,5年总生存率仅为1%左右[3],这与NSCLC的巨大进步形成了鲜明的对比[4]。但近几年来,随着PD-1和PD-L1等多种免疫检查点抑制剂(Immune checkpoint inhibitors,ICIs)相继应用于临床,ES-SCLC的治疗模式发生了改变[5],免疫联合化疗成为ES-SCLC患者新的治疗选择[6-8]。本文通过一例使用免疫联合化疗药物进行治疗的ES-SCLC患者病例,探讨免疫治疗在ES-SCLC中的应用与药物选择。
 
病例介绍

1.基本情况
 
患者:张某某,男,60岁
 
主诉:咳嗽、咳痰及左侧胸痛20天。
 
既往史:平素健康状况良好,疾病史(-),传染病史(-),预防接种史(-),手术外伤史(-),输血史(-),药物过敏史(-)。
 
家族史:无。
 
吸烟史:有,平均 40支/日,时间30年,未戒烟。
 
饮酒史:有,平均 1斤/日,时间30年,已戒酒3年。
 
2.体格检查
 
查体:神清,生命体征平稳。口唇无紫绀,胸廓正常,肋间隙正常,触觉语颤正常,未及胸膜摩擦感,双肺呼吸音减低,未闻及干湿性啰音、Velcro啰音,语音传导正常,未闻及胸膜摩擦音。心率85次/分,心律齐,未闻及病理性杂音,腹平软,肝脾肋下未触及,双下肢无水肿。
 
3.辅助检查
 
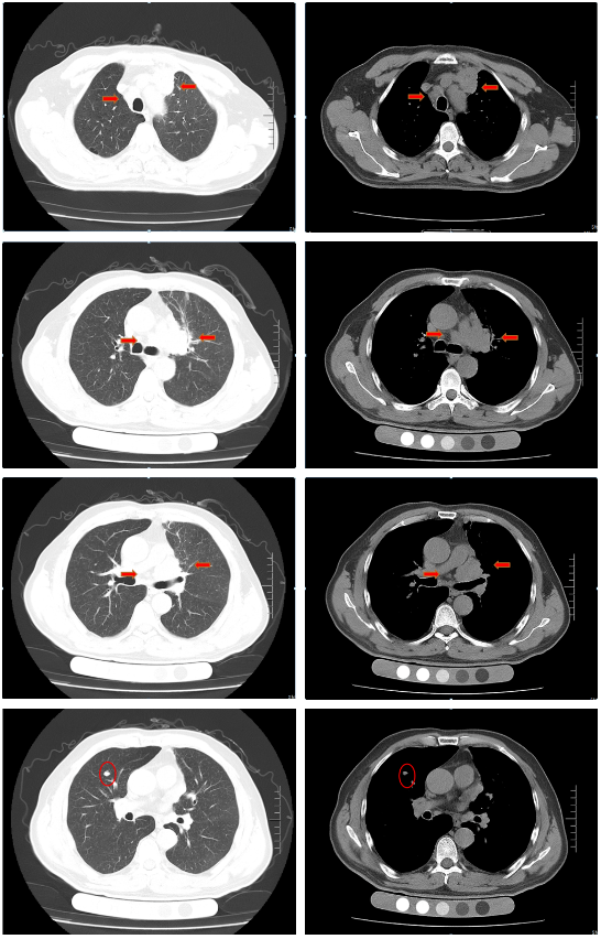
胸部增强CT(2022-02-12):左肺门及纵隔内见团块状软组织密度影,大小约62mm×42mm,边界不规整,内见血管影穿行,增强扫描呈轻度强化,局部支气管狭窄,远端肺内见片状磨玻璃密度影,边界欠清。右肺上叶见结节状密度增高影,较大直径约为8mm,增强扫描呈轻中度强化,右侧斜裂见长径约为6mm的高密度影,增强扫描未见明显强化;两肺透亮度增强,左肺下叶胸膜下囊状透光区。余气管、支气管通畅,未见明显狭窄、阻塞。纵隔和左肺门区见多发肿大淋巴结影,部分融合。两侧胸腔无明显积液。胸部CT诊断:左肺门及纵隔内占位,考虑肺Ca;纵隔及左肺门淋巴结肿大;右肺上叶结节,转移可能;右侧斜裂下结节;两肺肺气肿、左肺下叶肺大泡。
 
 
病理检查结果:(左肺肿物穿刺标本)符合小细胞癌。免疫组化:AE1/AE3(+部分)、Syn(+)、ChromograninA(+部分)、CD56(+)、TTF -1(+)、CK7(+部分)、Ki-67(+90%)。
 
PET-CT:左上肺门不规则软组织团块伴左肺门、纵膈、双侧锁骨上淋巴结肿大,全身多发骨转移;右上肺前段实性结节考虑转移。
 
4.临床诊断
 
左肺小细胞癌(cT4N3M1c,ⅣB期),PS 0分
 
5.治疗经过
 
第一阶段治疗
 
2022-02-14、2022-03-17行顺铂(40mg D1-3)+依托泊苷(0.1g D1-5)方案化疗。
 
胸部CT(2022-04-12):左肺门及纵隔内见团块状软组织密度影,大小约57mm×37mm,边界不规整,局部支气管狭窄,远端肺内见片状磨玻璃密度影,边界欠清。右肺上叶见结节状密度增高影,较大直径约为9mm,右侧斜裂见长径约为7mm的高密度影;两肺透亮度增强,左肺下叶胸膜下囊状透光区;两肺可见索条状影。余气管、支气管通畅,未见明显狭窄、阻塞。纵隔和左肺门区见多发肿大淋巴结影,部分融合。两侧胸腔无明显积液。胸部CT诊断:左肺占位复查;纵隔及左肺门淋巴结肿大;右肺上叶结节,转移可能;右侧斜裂下结节;两肺肺气肿、左肺下叶肺大泡。
 
 
治疗后评价:经过EP方案治疗后两周期,患者仍有咳嗽、咳痰及左侧胸痛,症状无缓解,且出现体重下降;影像学检查提示左肺病灶及纵膈淋巴结及肺门淋巴结较前缩小不明显(缩小<30%),疗效评价SD。总体效果欠佳。
 
第二阶段治疗
 
2022-04-14、2022-05-12、2022-06-09、2022-07-07应用斯鲁利单抗 300mg+顺铂(40mg d1-3)+依托泊苷(100mg d1-5)治疗4周期。
 
胸部CT(2022-07-15):双侧肺野透亮度增加,以两上肺和胸膜下明显。双肺纹理增多、增粗,紊乱,左肺上叶条片状高密度灶,大小约45mm×19mm,小叶间隔增厚。气管、左右主支气管无明显狭窄。纵隔内未见肿大淋巴结影。两侧胸腔无明显积液。胸部CT诊断:左上肺门占位复查;慢性支气管炎-肺气肿样改变。
 
 
治疗后评价:患者经过EP方案联合斯鲁利单抗治疗四周期后,患者咳嗽、咳痰及左侧胸痛症状消失,体重逐渐恢复;影像学提示左肺病灶及纵膈淋巴结及肺门淋巴结较前明显缩小(缩小>30%),右肺结节基本消失;疗效评价:PR(接近CR)。
 
第三阶段治疗
 
2022-07-28、2022-08-20应用斯鲁利单抗 300mg单药维持治疗。
 
胸部CT(2022-08-30):双侧肺野透亮度增加,以两上肺和胸膜下明显。双肺纹理增多、增粗,紊乱,左肺上叶见条片状高密度灶,大小29mm×18mm,小叶间隔增厚,两肺下叶见囊状透亮区。气管、左右主支气管无明显狭窄。纵隔内未见肿大淋巴结影。两侧胸腔无明显积液。胸部CT诊断:左上肺门占位复查;慢性支气管炎-肺气肿样改变;两肺下叶肺气肿。
 
 
治疗后评价:患者经过斯鲁利单抗单药维持治疗两周期后,患者未再出现咳嗽等症状,体重逐渐增加。影像学提示左肺病灶及纵隔淋巴结及肺门淋巴结、右肺结节基本消失,疗效评价接近CR。
 
病例小结
 
该患者为ⅣB期小细胞肺癌,一线采用标准化疗方案(EP)治疗2周期后疗效评估:SD,患者化疗敏感性不高;第二阶段治疗根据2022年CSCO小细胞肺癌诊疗指南,患者采用斯鲁利单抗联合EP方案,治疗2周期后体力状况明显改善,4周期后疗效评估:PR;第三阶段采用斯鲁利单抗单药维持治疗,2周期后影像学评估,左肺病灶及纵膈淋巴结及肺门淋巴结、右肺结节基本消失,疗效评估:接近CR。
 
既往多项研究均证实,对免疫治疗敏感患者长期应用免疫治疗可以获得长期生存。该患者目前仍处于免疫维持治疗阶段,未来将会有很长的用药周期,我们将长期随访观察患者的PFS、OS以及安全性等,进一步评估最终免疫治疗疗效。
 
病例点评
 
点评专家
江丰收
中国科学技术大学附属第一医院肿瘤内科
主任医师 教授
安徽省临床肿瘤学会肿瘤免疫专业委员会主任委员
安徽省临床肿瘤学会肿瘤多学科诊疗专业委员会副主任委员
安徽省临床免疫学分会常委
安徽省医学会临床免疫学分会肿瘤免疫学组组长
安徽省卫生系列高级专业技术资格评审委员会委员
安徽省及合肥市医学会医疗事故技术鉴定专家委员会委员
安徽省及合肥市医保特种病鉴定专家委员会委员
擅长肺癌分子靶向治疗、免疫治疗、个体化治疗及综合治疗
 
小细胞肺癌(SCLC)是一类侵袭性强、进展快、预后差的恶性肿瘤,一直是临床非常关注的难点。过去30余年里,ES-SCLC的治疗除了化疗/放疗外,几乎无进展,依托泊苷联合铂剂一直是标准一线化疗方案,但是SCLC的5年生存率仍小于5%!近年来,小细胞肺癌研究领域取得了前所未有的进步,无论是免疫检查点抑制剂等抗肿瘤新药的成功研发、新靶点新机制药物的尝试,还是分子分型的探索,进展与成绩有目共睹!特别是我国自主研发的PD-1抑制剂斯鲁利单抗,在前期实体瘤研究中已展现了良好的抗肿瘤活性和可靠的安全性,2019年又向ES-SCLC发起挑战,开展了一项国际多中心、随机对照III期研究——ASTRUM-005研究,这项研究的结果在今年ASCO会议上进行了口头报告,斯鲁利单抗联合EC方案较化疗方案(EC)在mOS(15.4 vs 10.9个月)、ORR(80.2% vs 70.4%)、mPFS(5.7 vs 4.3个月)方面均有显著获益,入组人群67%为中国患者,更能代表中国人群的获益。斯鲁利单抗联合化疗成为首个在ES-SCLC一线治疗获得成功的PD1抑制剂,2022年4月11日NMPA已经受理了斯鲁利单抗治疗ES-SCLC的上市申请。与此同时,这项研究也获得了国际专家的认可,2022年4月7日FDA授予斯鲁利单抗治疗小细胞肺癌孤儿药资格,今年CSCO指南将斯鲁利单抗联合EC方案作为ES-SCLC一线治疗III级推荐1A类证据。
 
在真实的临床实践中,小细胞肺癌患者的个体差异更为复杂,该患者确诊为ES-SCLC初始治疗时,由于经济原因,未能一线选择免疫联合化疗,经过标准EP方案治疗2周期后,影像学检查评估为SD,患者为了获得更好的疗效,从第3周期开始,接受斯鲁利单抗联合EP方案,治疗4周期后,患者体力状况明显改善,再次影像学评估疗效达到PR,未出现明显不良反应!目前此患者正在应用斯鲁利单抗单药维持治疗,近期经影像学评估,左肺病灶及纵膈淋巴结及肺门淋巴结、右肺结节基本消失,疗效稳定。该份真实世界病例,充分验证了斯鲁利单抗联合化疗能够为ES-SCLC患者带来生存获益,增强了在小细胞肺癌领域免疫治疗的信心!
 
理论来源于实践,实践是检验理论的唯一标准!这份病例也充分展现了斯鲁利单抗良好的抗瘤活性和可靠的安全性,特别是中国研发,体现“中国制造和中国特色”,既彰显了我国研究者和企业研究能力,创新能力的提升,也展示国际SCLC治疗的发展趋势,同时兼顾了我国患者的治疗意愿和需求,将为更多的小细胞肺癌患者带来更有效、更经济的治疗新选择!
 
参考文献:
 
[1]NICHOLSON A G, CHANSKY K, CROWLEY J, et al. The international association for the study of lung cancer lung cancer staging project: proposals for the revision of the clinical and pathologic staging of small cell lung cancer in the forthcoming eighth edition of the TNM classification for lung cancer[J]. J Thorac Oncol, 2016, 11(3): 300-311.
 
[2]RIAZ S P, LÜCHTENBORG M, COUPLAND V H, et al. Trends in incidence of small cell lung cancer and all lung cancer[J]. Lung Cancer, 2012, 75(3): 280-284.
 
[3]EVANS W K, SHEPHERD F A, FELD R, et al. VP-16 and cisplatin as first-line therapy for small cell lung cancer[J]. J Clin Oncol, 1985, 3(11): 1471-1477.
 
[4]Arriola E, et al. JTO Clin Res Rep. 2021 Dec 10;3(1):100266.
 
[5]Tariq S, et al. Lung. 2021 Dec;199(6):579-587.
 
[6]Liu SV, et al. J Clin Oncol. 2021 Feb 20;39(6):619-630.
 
[7]Goldman JW, et al. Lancet Oncol. 2021 Jan;22(1):51-65.
 
[8]Cheng Ying. 2022 ASCO abstract ID: 8505.

本内容仅供医学专业人士参考


小细胞肺癌

分享到: 更多