当前位置:肿瘤瞭望>资讯>正文

优例共赏丨一例合并多发肝转移小细胞肺癌患者免疫治疗病例分享

作者:肿瘤瞭望   日期:2022/10/24 15:15:33  浏览量:11494

肿瘤瞭望版权所有,谢绝任何形式转载,侵犯版权者必予法律追究。

小细胞肺癌(SCLC)是侵袭性最强的一种肺癌亚型,约占全部肺癌的15%,该亚型肺癌恶性程度高、增殖速度快,易发生远处转移。

▌病例作者:复旦大学附属肿瘤医院陈佳艳
▌点评作者:同济大学附属上海市肺科医院许亚萍
 
摘要:小细胞肺癌(SCLC)是侵袭性最强的一种肺癌亚型,约占全部肺癌的15%,该亚型肺癌恶性程度高、增殖速度快,易发生远处转移[1,2]。小细胞肺癌患者诊断时的疾病分期通常表现为广泛期,广泛期小细胞肺癌(extensive-stage SCLC,ES-SCLC)5年生存率仅为7%[2]。20世纪90年代以来,一线广泛期小细胞肺癌的标准治疗仍然是以铂类为基础联合依托泊苷或伊利替康的化疗方案,中位生存期约为10个月[3,4]。近年来,随着PD-1和PD-L1等多种免疫检查点抑制剂(Immune checkpoint inhibitors,ICIs)相继应用于临床,免疫联合化疗成为ES-SCLC患者新的治疗模式,Atezolizumab或Durvalumab联合化疗已经在全球范围内被批准作为ES-SCLC患者的一线疗法[5-8],但总生存的改善有限仍是临床上亟需解决的问题。斯鲁利单抗作为上海复宏汉霖首款自主研发的创新生物药PD-1抑制剂,其疗效在多个瘤种中得到验证,其中在小细胞肺癌中的研究数据表明斯鲁利单抗联合化疗对比化疗组总生存达到15.4个月vs 10.9个月,风险比0.63[9]。本文通过分享一例一线使用斯鲁利单抗联合含铂方案化疗的合并多发肝转移ES-SCLC病例,来探讨免疫治疗在ES-SCLC中的应用与药物选择。
 
病例作者
陈佳艳教授
复旦大学附属肿瘤医院放射治疗中心科主任助理,副主任医师
中国抗癌协会肿瘤放射治疗专委会青委会副主委
上海市抗癌协会放疗专业委员会青委会副主委
上海市核学会肿瘤放疗与影像专委会秘书长
上海市医学会肿瘤放射治疗专科分会立体定向放疗学组组员
国家卫生健康委能力建设和继续教育肿瘤学专委会委员
华人肿瘤放射治疗协作组放射免疫工作委员会委员
主持国家自然科学基金青年基金、上海市抗癌协会翱翔计划资助等
第52届ASTRO年会口头发言
以第一作者及通讯作者身份,SCI论文十余篇
主持及参与设计、实施多项单中心、多中心临床试验
 
病例介绍
 
夏某,男性,44岁,173cm,87kg。主因“乏力伴头晕、呕吐2周”入院。
 
患者于2022.05.11无明显诱因下出现乏力,伴头晕、呕吐。至当地医院就诊,查电解质Na 115.2mmol/L,脑MR平扫未见明确异常。2022.05.15外院CT示:左下肺占位伴同侧肺门淋巴结肿大、右侧颈血管丛及气管隆突下多发淋巴结转移;肝脏多发占位,考虑转移瘤。
 
既往乙肝病史约30年,目前乙肝小三阳;无吸烟饮酒史;无肿瘤家族病史。
 
查体:ECOG 1分。全身浅表淋巴结未触及明显肿大及压痛。颈软,未及明显肿物。胸廓对称无畸形,双侧触觉语颤无增强及减弱,双肺叩诊清音,双肺呼吸音尚清晰,未闻及干湿啰音和胸膜摩擦音。头部、心脏、腹部、四肢及神经系统:(-)。
 
▌辅助检查
 
PET-CT(2022.5.19):左下肺背段近肺门分叶状结节,约3.0×2.3cm,放射性摄取异常增高,SUVmax=11.4;右上气管旁、隆突下、后纵隔降主动脉左前及左侧肺门肿大淋巴结,大者2.4*1.9cm,放射性浓聚,SUVmax=11.5。肝内散在多发略低密度影,边界不清,放射性摄取增高,SUVmax=7.0。
 
图1.PET-CT图像
 
气管镜(2022.05.23):左下叶支气管开口见新生物,予活检+刷检。
 
MRI(2022.05.25):肝脏弥漫多发转移瘤,胸腰椎多发转移可能。
 
实验室检查(2022.5.18):PRoGRP 4073.00pg/mL,NSE 66.10ng/ml;Na 117.0mmol/L;HBV-DNA 1.39E3 IU/ml。
 
病理检查(2022.5.24):(左下叶支气管开口)小细胞癌。免疫组化:AE1/AE3(+),CAM5.2(+),LCA(-),TTF-1(+),NapsinA(-),PAX8(少数弱+),P63(-),P40(-),CgA(少数+),CD56(+),Syn(+),Ki-67(约70%+)。
 
▌入院诊断
 
1.左下肺小细胞癌
 
⑴美国退伍军人肺癌协会(VALG)二期分期法广泛期;
 
⑵AJCC第8版cT1cN3M1,ⅣB期
 
2.低钠血症
 
3.乙肝小三阳
 
▌治疗经过
 
2022.5.31至8.3接受斯鲁利单抗400mg,d1+依托泊苷0.12g,d1-4+顺铂40mg,d1-3;20mg,d4 q3w治疗,共4个周期;2022.8.24、9.14接受斯鲁利单抗400mg q3w维持治疗2个周期。
 
疗效评估
 
肿瘤标志物明显下降(图2,括号内为正常范围参考值)。
 
图2.肿瘤标志物变化
 
图3.肝功能指标变化
 
图4.血清钠变化
 
影像学检查:
 
PreC3:
 
CT(2022.7.5):左肺MT治疗后,左肺下叶近肺门软组织密实,牵拉临近胸膜。两侧胸廓对称,两肺纹理清晰,走向自然,余肺叶内未见明显异常密度阴影。纵膈稍大淋巴结。
 
MRI(2022.7.6):肝脏表面光滑,肝脏多发T1WI低信号、T2WI略高信号结节,较前稍缩小减少,大者约17mm,增强后呈轻度强化,肝胆排泄期强化退出,肝内外胆管无扩张。胸腰椎多发转移部分稍缩小。
 
PreC5:
 
CT(2022.8.22):左肺MT治疗后,左肺下叶近肺门软组织密实同前,牵拉临近胸膜。两侧胸廓对称,两肺纹理清晰,走向自然,另左肺下叶小结节,大者约4mm。纵膈未见明显淋巴结。肝内多发结节。
 
MRI(2022.8.19):肝脏表面光滑,肝脏多发T1WI低信号、T2WI略高信号结节,部分较前稍缩小,大者约15mm,增强后呈轻度强化,肝胆排泄期无明显摄取,肝内外胆管无扩张。胸腰椎多发异常信号灶,较前缩小。
 
图5.基线、C3、C4的胸、腹CT和MR影像
 
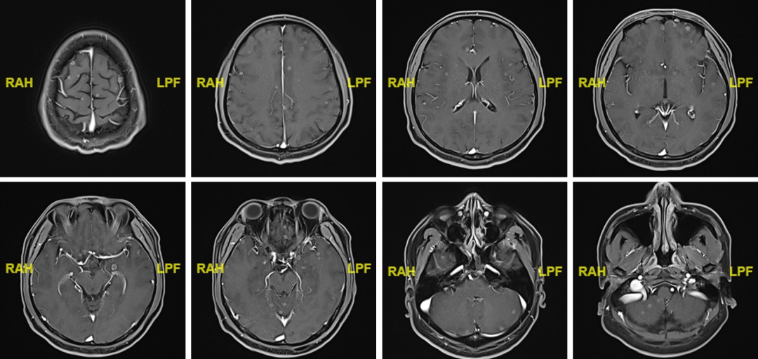
随访:2022.09.23脑MR提示大脑及小脑内多发强化结节,大者约8mm,脑内多发转移。
 
图6.C6后脑MR影像
 
后续治疗:2022.10.06起行全脑放疗,DT:30Gy/10Fx。斯鲁利单抗400mg d1 q3w维持。
 
图7.治疗流程
 
▌病例小结
 
该例患者为广泛期小细胞肺癌,初诊伴多发肝脏转移、胸腰椎转移,且伴有低钠血症,同时该患者为乙肝病毒携带者。根据2022版CSCO小细胞肺癌指南建议,一线采用斯鲁利单抗联合化疗4周期治疗,后斯鲁利单抗单药维持治疗(1A类证据),患者乏力症状较前明显好转,血钠水平恢复正常,影像学提示全身病灶均明显退缩,尤其是肝转移病灶明显减小,疗效佳。该患者治疗过程中未出现免疫相关不良反应,安全性好。
 
另外,NCCN指南和CSCO指南都指出有病毒性肝炎病史的患者,是ICIs治疗的潜在人群。既往多项研究均证实,对免疫治疗敏感患者,长期应用免疫治疗可以获得长期生存。该患者目前仍处于免疫维持治疗阶段,未来将会有很长的用药周期,我们将长期随访观察患者的PFS、OS以及安全性等。免疫治疗时代ES-SCLC患者的全程管理以及特殊人群免疫治疗仍需不断的探索和更多的证据支持。
 
点评专家
许亚萍教授
同济大学附属上海市肺科医院、放疗科科主任
主任医师、教授、博士生导师及博士后合作导师
上海市抗癌协会转化医学专业委员会主任委员
CRTOG第一届放疗免疫工作委员会上海分会副主任委员
上海市抗癌协会靶向与免疫治疗专业委员会常委
中国临床肿瘤学会(CSCO)非小细胞肺癌专业委员会常委
中国临床肿瘤学会(CSCO)转化医学专业委员会常委
中国医师协会肿瘤多学科诊疗专业委员会常委
中国肿瘤放射治疗联盟(CRTOG)执行委员会副主任委员
中国肿瘤放射治疗联盟(CRTOG)肺癌工作委员会副主任委员
中华医学会放疗专业委员会肺癌学组委员
中国医师协会放疗专业委员会SBRT学组委员
擅长肺部肿瘤精准放疗与化疗、免疫、靶向等的多学科综合治疗
发表专业学术论文110余篇,其中SCI论文50余篇,主编主译著作8部
获国家科技进步二等奖1项(第五完成人)、上海市抗癌科技一等奖1项(第一完成人)、上海市医学科技奖三等奖1项(第一完成人)
 
病例点评
 
IMpower133、CASPIAN等研究数据的公布,突破了过去近三十年广泛期小细胞肺癌(ES-SCLC)以化疗为主的治疗模式,开启了抗PD-L1单抗免疫治疗ES-SCLC的新篇章,改善了患者化疗生存获益有限的局面。在今年ASCO会议上,复宏汉霖公司首次公布斯鲁利单抗的III期临床研究ASTRUM-005结果,打破了抗PD-1单抗在ES-SCLC无效的魔咒,为ES-SCLC的免疫治疗提供新的选择。
 
ASTRUM-005研究是国际多中心、随机、双盲、安慰剂对照大型III期临床研究,共纳入585例既往未接受过系统治疗ES-SCLC患者,中期分析结果中,中位OS达15.4个月,为目前ES-SCLC取得最长OS获益的药物。基于该研究结果,今年4月,斯鲁利单抗作为IA类证据被纳入CSCO指南ES-SCLC一线治疗III级推荐。ASTRUM-005成为全球首个登上JAMA的小细胞肺癌免疫治疗临床研究,斯鲁利单抗已获得美国FDA小细胞肺癌(SCLC)孤儿药资格认定。
 
该例ES-SCLC患者伴有多发肝转移及副瘤综合征,病情进展快、预后差。基于2022版CSCO小细胞肺癌指南,一线ES-SCLC采用斯鲁利单抗,联合标准含铂双药化疗,取得非常好的疗效,有效地缓解了副瘤综合征并且安全性良好,无免疫相关不良反应发生。
 
携带乙肝病毒的特殊人群,是免疫治疗的潜在人群。该患者应用斯鲁利单抗并未引起乙肝病毒扩增,且未出现肝脏相关免疫不良发应,提示斯鲁利单抗在携带乙肝病毒的广泛期小细胞肺癌患者中安全性良好。
 
该例真实世界病例,充分验证了斯鲁利单抗联合化疗能够为ES-SCLC患者带来满意的疗效,为斯鲁利单抗在ES-SCLC免疫治疗领域的应用积累了真实世界数据,能够为临床治疗方案的选择提供参考依据。
 
▌参考文献
 
1.Rudin CM,Brambilla E,Faivre-Finn C,Sage J.Small-cell lung cancer.Nat Rev Dis Primers.2021;7(1):3.
 
2.American Cancer Society.Cancer facts and figures 2021.Accessed January 10,2022.
 
3.Socinski MA,Smit EF,Lorigan P,et al.Phase III study of pemetrexed plus carboplatin compared with etoposide plus carboplatin in chemotherapy-naive patients with extensive-stage small-cell lung cancer.J Clin Oncol.2009;27(28):4787-4792.
 
4.Rossi A,Di Maio M,Chiodini P,et al.Carboplatinor cisplatin-based chemotherapy in first-line treatment of small-cell lung cancer:the COCIS meta-analysis of individual patient data.J Clin Oncol.2012;30(14):1692-1698.
 
5.AstraZeneca.Press release:Imfinzi approved in the EU for the treatment of extensive-stage small cell lung cancer.Accessed December 21,2021.
 
6.AstraZeneca.Press release:Imfinzi approved in the US for extensive-stage small cell lung cancer.Accessed December 21,2021.
 
7.Roche.Press release:FDA approves Roche’s Tecentriq in combination with chemotherapy for the initial treatment of adults with extensive-stage small cell lung cancer.Accessed December 21,2021.
 
8.Roche.Press release:European Commission approves Roche’s Tecentriq in combination with chemotherapy for the initial treatment of people with extensive-stage small cell lung cancer.Accessed December 21,2021.
 
9.Cheng Ying,Han Liang,Wu Lin et al.Effect of First-Line Serplulimab vs Placebo Added to Chemotherapy on Survival in Patients With Extensive-Stage Small Cell Lung Cancer:The ASTRUM-005 Randomized Clinical Trial.[J].JAMA,2022,328:1223-1232.

本内容仅供医学专业人士参考


小细胞肺癌

分享到: 更多