编者按:大约15-20%的乳腺癌患者为三阴性乳腺癌(TNBC),由于缺乏有效靶点、复发转移风险高,被认为是预后最差的乳腺癌类型。经过多年攻关, 针对“最毒、最凶险”的TNBC,复旦大学附属肿瘤医院邵志敏教授团队2019年成功绘制出全球最大的TNBC基因图谱,首次提出“复旦四分型”——腔面雄激素受体型、免疫调节型、基底样免疫抑制型和间质型。在该项研究的基础上,2020年团队公布了针对经历过多轮治疗后病情仍然进展难治性TNBC的精准治疗—FUTURE“伞形”结果,通过精准“复旦分型”为患者有的放矢选用合适靶向药物,大大提升难治性乳腺癌的疗效,免疫调节型和部分基底样免疫抑制型患者改善显著。但有些类型疗效仍然不尽人意,王中华教授及其团队成员积极探索新的生物标记物,优化TNBC的精准治疗策略。现对两项入选SABCS 2020大会壁报展示的两篇摘要进行汇报。
篇一
摘要号PS6-21:High expression of MicroRNA-223 indicates better prognosis in triple negative breast cancer
三阴乳腺癌高表达microRNA-223提示良好预后
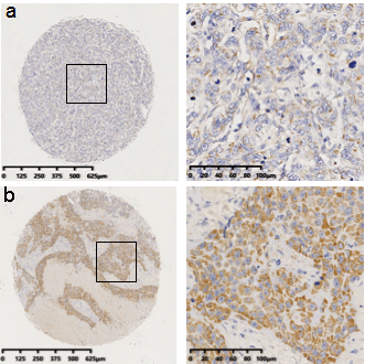
MicroRNA(miRNA)是一系列单链非编码RNA,是转录后基因表达网络中的关键调控因子,影响众多生物学过程,有望成为重要的肿瘤生物标志物。MicroRNA-223(miR-223)位于X染色体的q12,其表达水平与肿瘤疾病进展之间的关系尚未达成共识。我们收集了2003-2007年在复旦大学附属肿瘤医院接受手术的450例乳腺癌标本并构建了组织微阵列(TMA),结合原位杂交(ISH)技术检测miR-223在乳腺癌中的表达水平(图1)并评估其预后价值。
在该队列中,Luminal A型、Luminal B型、HER2过表达型和三阴性乳腺癌分别占22%,24%,20.67%和33.33%,其中36.66%(165/450)的乳腺癌为miR-223高表达。miR-223的表达状态与组织分化、肿瘤大小、ER/PR/HER2的表达状态等临床病理特征之间未发现显著关联。

图1.乳腺癌中miR-223的表达示例。左:低倍镜,右:高倍镜;上:低表达,下:高表达
截至2018年3月,共有20.22%(91/450)的患者出现疾病复发或转移。在这91例患者中,85.71%(78/91)患者miR-223低表达。进一步Kaplan-Meier分析显示,miR-223高表达组的OS和DFS明显高于低表达组(p值分别为p<0.001,p=0.017,图2)。miR-223低表达组的5年DFS和OS率(分别为76.24%和90.43%)显著低于miR-223高表达组(分别为94.35%和95.79%)。随后亚组分析表明,在TNBC亚组中,miR-223高表达组的OS和DFS均明显优于低表达组(p值分别为p=0.046,p<0.001),而在其他亚组中未见显著差异。同样的结论在METABRIC和TCGA数据库中得到验证。

图2.乳腺癌患者miR-223表达的Kaplan-Meier曲线。左:所有BC,右:TNBC
单因素和多因素Cox回归分析显示miR-223表达水平在三阴性乳腺癌中为DFS和OS的独立危险因素。这项研究表明在miR-223高表达在乳腺癌患者(尤其是TNBC患者)中,提示良好预后。MiR-223有望成为TNBC有效且独立的预后生物标志物。
篇二
PARP inhibitor in the treatment of BRCA1 mutant triple negative breast cancer
联合PARP和CDK4/6抑制剂治疗BRCA突变型三阴性乳腺癌的疗效探索
PARP抑制剂(PARPi)是PARP家族DNA修复酶的小分子抑制剂,能抑制BRCA1/2功能缺失细胞的同源重组修复导致肿瘤合成致死。PARPi奥拉帕尼已被FDA批准用于治疗BRCA1/2突变且HER2阴性的转移性BC。但是,临床上发现BC尤其是TNBC患者对PARPi的耐药问题突出。在我们中心针对晚期TNBC的FUTURE临床试验中,三名患有胚系BRCA1/2突变并接受PARPi治疗的TNBC患者均在第一次疗效评估时进展。进一步优化联合治疗策略,解决临床耐药问题将成为PARPi的研究重点。
以往有研究报道CDK4/6抑制剂(CDK4/6i)可阻止多种DNA损伤恢复。我们首次尝试探索联合PARPi和CDK4/6i治疗TNBC的疗效(图3)。

我们从现有的BRCAmut/TNBC细胞系中筛选了对PARPi敏感(MDA-MB-436)和原发耐药(HCC1937)的细胞株,并通过逐渐增加PARPi浓度来培养获得性耐药细胞株。在体外细胞实验和体内小鼠实验中,我们首次证实PARPi和CDK4/6i联合治疗对上述BRCAmut/TNBC具有协同作用(图4),其联合指数(CI)均小于0.9。

图4.药物处理下细胞的抑制率和药物组合指数。颜色代表抑制率,数值代表CI
后续的细胞实验证实,PARPi单药可抑制敏感细胞的增殖和迁移,并增加细胞凋亡和DNA损伤。不同于敏感细胞株,在PARPi耐药的BRCAmut/TNBC细胞HCC1937中,只有同时抑制CDK4/6和PARP才能显著抑制细胞生长(图5)。

图5.单独或联合使用PARPi或CDK4/6i下细胞增殖曲线。
在一些特定BRCAmut/TNBC中,即使是在PARPi耐药的细胞中,PARPi与CDK4/6i这样的药物组合也具有协同作用。我们的数据为今后联合PARPi和CDK4/6i治疗对PARPi单药治疗耐药的BRCAmut/TNBCs提供了一定基础依据。
复旦大学附属肿瘤医院乳腺外科副主任
主任医师,硕士生导师
上海市抗癌协会乳腺癌专业委员会副主任委员
中国医师协会肿瘤医师分会乳腺癌学组委员
中国研究型医院学会精准医学与肿瘤MDT专业委员会乳腺学组副主任委员
中国老年肿瘤专业委员会乳腺癌分委会常务委员
上海市抗癌协会癌症康复与姑息治疗专委会委员
上海市抗癌协会实体肿瘤聚焦诊疗专业委员会委员
上海市女医师协会医学科普专委会常务委员
复旦大学附属肿瘤医院乳腺外科住院医师,医学博士
师从著名乳腺癌专家邵志敏教授
2007年起从事乳腺肿瘤专业,擅长乳腺良恶性肿瘤的诊治,乳腺癌个体化综合治理以及乳腺癌治疗的全程管理
科研方面主要从事乳腺癌临床及基础研究,参与多项国家自然基金,发表SCI收录论文十余篇,收录《自然—通讯》等杂志
复旦大学附属肿瘤医院,肿瘤学硕士
主要研究方向:三阴性乳腺癌靶向治疗
已发表学术及SCI论文3篇,已获3次壁报展示
2020年复旦大学优秀学生,曾荣获国家奖学金、省优秀毕业生称号